窦停?窦缓?AVB?Aveir™ 提供常见起搏器适应证无导线解决方案
- 网络
- 浏览
- 2025-11-24 19:23
新一代AVEIR™ DR无导线心脏起搏器已在全国多家中心成功完成首批临床植入手术,这项突破性技术以其微创、安全、可靠、可取出等显著优势,正为越来越多的心律失常患者开启高质量的“无线”人生。今天分享上海市中山医院植入的3例AVEIR™ DR病例。
先介绍两例常规Aveir™ DR植入病例:病例一:21岁AVB
病史:
第一位患者为21岁的年轻女性,自述10年前体检发现心动过缓,心率约40-50bpm。3周前晨起体位变化后突发晕厥,持续1-2min后自行转复,伴跌倒及脸部受伤。至外院就诊,心超正常。动态心电图示:平均心率42bpm,三度房室传导阻滞。
治疗方案:
该患者符合无导线起搏器的适应症。考虑到患者的年龄、生活质量、未来可取出性,皮肤无隆起等,与患者本人及家属充分沟通后,决定植入新一代AVEIR™ DR无导线心脏起搏器。
病例二:52岁窦缓,一度房室传导阻滞,爱好运动
病史:
第二位患者为52岁女性,2年前无明显诱因反复出现心慌乏力,心电图示:窦缓,RR长间歇2.6秒。25年8月长跑时突发眼花,伴晕厥,伴意识丧失2-3分钟。当地医院动态心电图示:显著窦缓,二度窦房传导阻滞或窦停,房性早搏。入院心电图示:窦缓,一度传导阻滞。
治疗方案:
该患者为病态窦房结综合征,符合无导线起搏器的适应症。患者较为年轻,爱好运动,决定植入Aveir™ DR,术后可先程控为AAI模式。
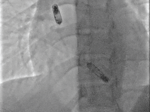
以上两位患者均以标准流程成功植入Aveir™ DR,最终固定位置影像:

病例1 RAO

病例1 LAO

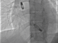
病例2 RAO
相对特殊的Aveir™ DR植入病例分享:
病例三:72岁窦缓窦停
病史:
第三位患者为72岁女性,6年前出现反复胸闷、心悸、乏力、头晕。外院动态心电图示:窦性心律,平均心率46bpm,最慢心率24bpm,≥2秒的长RR间歇3200次,最长RR间歇4.16秒,窦停。
治疗方案:
该患者为病态窦房结综合征,有心房起搏的需求。当前国际上仅Aveir™ 可在心房单独植入一个具有独立起搏+感知功能的无导线起搏器。未来若发展为传导阻滞,还可升级为Aveir™ DR,与患者本人及家属充分沟通后,决定先测试文氏点,若文氏点较高,则装AVEIR™ AR单心房无导线起搏器,若出现传导阻滞则升级DR。
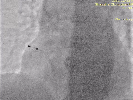
从静脉通路插入临时起搏电极至右心房/右心耳:

RAO

LAO
术中文氏点测试显示患者具有传导阻滞风险(75bpm起搏时出现2:1传导阻滞),与患者及家属充分沟通后,决定升级为Aveir™ DR。

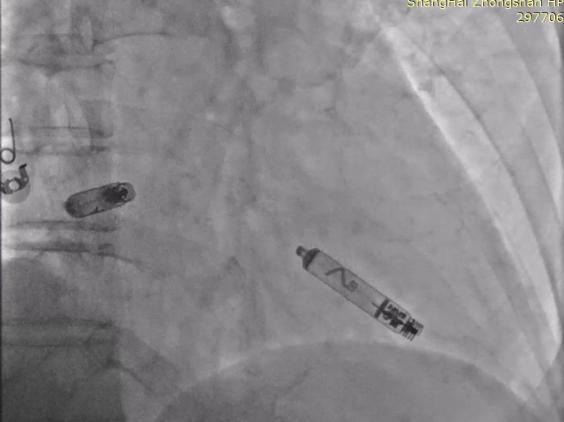
手术继续,通过猪尾造影提示植入目标位点后,优先植入心室VR,作为备用起搏,随后植入心房AR,标准流程释放无导线起搏器后,配对Aveir™ AR及VR,程控为DDD模式。
最终植入影像:

RAO30

LAO30
以上就是三例Aveir™ DR的植入病例分享,接下来,我们再来看一下随访数据:
患者1:术后随访数据:

窦性心律>100bpm的情况下As-Vp>99%,i2i通讯99%,保证不同姿势下的房室同步
总结:对于三度房室传导阻滞的患者Aveir™ DR 房室高同步率有保证
患者2:术后随访数据:

程控为AAI模式,心房无导线起搏器预计寿命15年,电学参数正常,无报警事件。
患者3:术后随访数据:

DDD起搏模式寿命符合预期,电学参数正常,无报警事件。
总结与体会:
Aveir™ 起搏器无需导线,避免了传统起搏器导线磨损、囊带感染等相关并发症,尤其适合对美观和术后恢复要求较高的年轻女性(患者一)。
体积小,从股静脉穿刺植入,伤口“隐形”,不影响外观和日常活动,满足年轻人对生活质量的高要求。
年轻患者未来必然会面临更换的难题,Aveir™ 有专门设计的取出导管,可安全取出更换或升级,不会在患者体内残留废弃器械,提供长期管理灵活性。
传统起搏器术后需限制上肢活动4-6周,以防导线移位,Aveir™ 无导线起搏器经股静脉植入,无切口无囊袋,术后次日即可活动,让喜欢运动的患者不再受手臂运动的限制(患者二)。在快心率下的高房室同步率也满足了运动时心脏的需求,提升运动耐力与舒适度,提高生活质量。
针对病窦患者(尤其是高龄患者)需要在术中做文氏点测试,以确保传导功能良好,一旦传导功能有问题,需升级双腔起搏器。针对老年患者,还需进行心房大小,房颤的评估,若病窦合并房颤,需个体化决策,是否需要消融或选择双腔起搏器。Aveir™ 提供模块化植入策略,可根据疾病进展,按需选择无导线起搏方案(AAI,VVI,DDD),提供多种临床选择。
AVEIR™ DR的出现具有划时代里程碑式的进步,真正通过无导线实现了DDD起搏,今后也会成为医/患因缓慢心律失常而植入心脏起搏器的重要选择,相信占比权重会逐渐增加。
以上内容是针对上海市中山医院新一代AVEIR™ DR无导线心脏起搏器植入病例的分享。无论是窦缓,窦停还是房室传导阻滞的患者,Aveir™ 系列起搏器一步到位,提供常见起搏器适应证无导线“心”方案。
本文地址:http://www.quanqiuyiyao.com/zixun/222.html
展实力,赢未来!翰林航宇青岛药机展精彩回顾资讯1
抓重点、促合力,“健康城市 健康体重”肥胖防控主题系列活动的三年之旅快讯2
爱创科技✖景德中药|与百年药企构建中药饮片追溯新样板资讯3- 资讯南宁东大肛门肠医院坑不坑?
- 资讯大千医药 - 创新守护健康,知识赋能生活
- 资讯仁心铸医魂 ,妙手济苍生 ——黄继扬医师
- 资讯奥园医院中医康复理疗,开启健康新篇章
- 快讯InBody体成分测试服务特奥运动员,彰显企业社会责任感
- 资讯全省中医药强省建设现场会南阳召开,仲景枇杷清肺颗粒首次亮相
- 资讯中国首款糖尿病ED干细胞新药获批,深圳再生引领细胞治疗革命
- 快讯叶定伟教授:50岁以上男性每年一次“必修课”
- 资讯葛兰素史克聚力多方,共建肝炎防治新生态
- 资讯国医大师李锡涛加盟榕树家,携手构建中医生命科学新体系
- 资讯百年医魂传承 八旬名医坚守 心脑专家邱元凯:五十载仁心深耕,为患者点燃康复之光
- 资讯喜讯!亚科股份旗下检测服务平台——万德检测成功通过CMA认证



